The EOSedge™ System provides state-of-the-art, low-dose imaging for both pediatric and adult patients. By capturing precise 2D and 3D scans in a natural, weight-bearing position, EOSedge™ plays a crucial role in diagnosing and treating a wide range of orthopedic conditions. Whether guiding non-operative treatments or planning surgical procedures, this advanced technology offers unparalleled accuracy. From spine assessments to full-body imaging and bone age maturity evaluations, EOSedge™ supports comprehensive orthopedic care—including imaging for the spine, upper and lower extremities, and bone age assessment.

For more detailed information, click here to view the info sheet.

Comprehensive Imaging for Pediatric & Adult Orthopedic Care

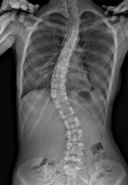
Spine Imaging

Detailed 2D/3D scans for evaluating spinal alignment and conditions, including scoliosis, kyphosis, postural imbalances, degenerative disc changes, spinal misalignment, chronic back or neck pain and sports or posture-related spinal issues.

Full-Body Imaging

Comprehensive imaging of the upper and lower extremities, including the hips, knees, legs, shoulders, arms, and hands, in a natural, weight-bearing position.

Bone Age Assessment

Helps evaluate skeletal maturity and growth for personalized treatment planning.

Call or email us for more information and to schedule an appointment.

📞 (973) 216-4201
📧 Office@OrthoEdgeImaging.com